预告

河南省癫痫病系统化诊疗中心在王新军教授、单峤主任、吴艳芝副主任带领下,在首都医科大学宣武医院癫痫诊疗专家孙伟教授的悉心指导下能及时为癫痫患者提供专业的指导和帮助,会诊每个疑难癫痫病例,对于能手术根治的患者,专家团队都进行严格的术前评估并且制定出具有针对性的治疗方案,大大提高治疗效果,让患者更安心!更放心!
孙伟教授每月都会定期来院会诊癫痫疑难病例,疫情期间,目前会诊形式为远程会诊,本月会诊日期为2020年4月17日,名额有限,先到先得!
疑难癫痫病例会诊时间:2020年4月17日(星期五)中午13:00-17:30。
癫痫疑难病例会诊地点:郑州大学五附院2号病房楼16楼示教室。
癫痫专科门诊时间:吴艳芝副主任医师,周二上午、周四全天及周六上午
癫痫专科门诊地点:郑州大学五附院门诊二楼外科5诊室,癫痫专科门诊
届时希望广大医师及癫痫患者积极报名、踊跃参与(名额有限,报名从速)。
预约及联系电话:联系电话:孙楹:15638836223 医生办:0371-66916449 癫痫病人服务中心:0371-66916511

▲ 请扫二维码微信预约
2019年12月16日,对于17岁女孩丽丽(化名)来说是改变命运的一天,做了癫痫病灶切除术后,折磨她5年的癫痫神奇地消失了。
丽丽初中以前本来是一个成绩优异的尖子生,小升初考试名列前茅,当地县城多家中学争先录取她,可是12岁那年,她毫无征兆的开始出现癫痫发作,主要表现为:意识不清,下肢蹬踏运动,髋关节向前挺或左右摇摆,甚至在床上剧烈扭动翻滚,发作较频繁,每日少则3-4次,多则10余次,夜间为主,夜间发作频繁时几乎一夜都无法入睡。
家人带她四处求医,多次脑电图检查提示癫痫样放电较广泛,头颅磁共振未见异常,只能药物治疗。曾服用过绝大多数的抗癫痫药物,效果均不明显,而且发作越来越多。
丽丽是个勤奋好学的孩子,尽管如此仍坚持完成了初中课程,但频繁的癫痫发作和药物的副作用,还是对她的反应力和记忆力造成了严重影响。初中三年她的学习成绩从尖子生变成了中等生,现在正上高二的她,成绩已经下降到了中下等,而且她的月经也变得越来越不规律,从每月1次变成了2-3个月1次,整个家庭都为此愁苦不堪。
一个偶然的机会,丽丽的妈妈从朋友圈里了解到郑州大学五附院有一个专业的癫痫诊疗团队,该团队不仅有北京的知名癫痫诊疗专家,还有专业从事脑电和癫痫的神经内外科、儿科、康复科、影像科等知名专家,这让一家人又重新燃起新的希望。
2019年12月3日一家人带着丽丽找到了郑州大学五附院神经外科学科带头人王新军教授,王教授了解她的病情后说:放心吧,我们一定尽最大的努力让孩子康复!之后患者来到癫痫门诊,吴艳芝副主任医师给患者进行了详细的病史采集和临床查体,马上安排住院,先进行精准的视频脑电图监测定位,再进行精密的癫痫序列薄层扫描,初步定为病灶为右侧额叶。

▲ 术前脑电评估(发作间期,尽管放电范围广泛,但右额极、右额较明显)

▲ 术前脑电评估(发作期,患者症状学先出现撇嘴,意识丧失,随后全身来回翻滚,发作起始脑电图右额极、右额较明显)


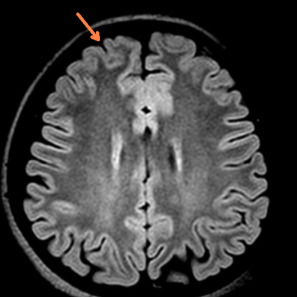
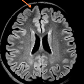
术前影像学评估(头颅MRI提示:考虑左侧额叶白质区点状缺血灶,但细看右额极似有脑发育不良,PET-CT提示右侧额极、扣带回低代谢
2019年 12月7日每月1次的癫痫大会诊,各专家统一意见,接下来需进一步进行PET-CT检查了解低代谢情况。PET-CT结果出来后,通过临床-电-脑网络综合分析,最终确定病灶位置,于2019年12月16日由王新军教授、单峤主任在全麻下为患者行 “癫痫灶切除术”。手术过程很顺利,术后当天就完全无发作,术后病理提示局灶性皮层发育不良,随访4月余,患者至今恢复良好,未再发作。
▲ 郑州大学五附院癫痫诊疗专家团队进行病例讨论

▲ 术中脑电监测定位

▲ 切除前显示较多异常放电

▲ 切除后异常放电消失

▲ 术后病理结果为局灶性皮层发育不良

▲ 术后34天的切口恢复良好
癫痫是神经科常见病、多发病,70%-80%的患者经过初诊严格的分型可通过正规药物治疗病情得到良好控制,绝大多数患者是可以成功减停药物的;但仍有20%-30%的患者药物不能很好的控制,属于难治性癫痫。
手术是解决难治性癫痫的理想手段,药物难治性癫痫到底适合不适合手术?做什么样的手术?术前评估很重要。术前评估最重要的就是精确定位致痫灶的位置及范围,主要包括详细的病史、精确的视频脑电图、细致的磁共振和PET-CT、脑磁图等。
额叶是面积最大的脑叶,约占大脑半球表面的三分之一,额叶主管人的随意运动、言语、嗅觉、视力、植物神经功能及精神活动等方面,从癫痫发作起源及症状学的角度,可将额叶划分为7个区域,即辅助运动区、扣带回、前额极、眶额回、额叶背外侧区、岛盖及运动皮层。不同癫痫灶位于不同脑叶区,会引起不同的癫痫症状。文中患者丽丽经过严密的临床-电-脑网络分析,属于典型的额叶癫痫,额极、扣带回起源,手术效果良好。
患者及其家属要正确认识癫痫,即使患有癫痫,也不必害怕,历史上一些名人也患有癫痫,但他们照样正常生活,而且还很有成就,以积极乐观的态度面对癫痫,到正规的癫痫专科就诊,规范化治疗,在治疗过程中规律服药、保证充足睡眠、记录发作情况、留意药物副反应、定期随诊,每个癫痫患者都会把生活过的越来越精彩。希望丽丽在明年的高考中谱写辉煌的人生!
来源:河南省癫痫病系统化诊疗中心 吴艳芝
宣传科编辑整理