一年前患者郭师傅曾做过一次“胃大部切除”手术,近半年来腹痛间断性发作。近日,他的腹痛再次持续加重,并伴有淡绿色胃液呕吐物。入住郑州大学五附院消化内科一病区后,黄煌博士为其详细查体,发现腹部呈不对称性隆起,考虑不排除肠扭转可能。通过急查血常规、CT检查证实判断后立即转入胃肠甲状腺外科进一步治疗。

▲ 术前腹部CT可见小肠“旋涡”征,提示肠扭转

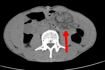
▲ 肠系膜CTA提示肠系膜上动脉病变
吴万庆副主任医师接诊后根据郭师傅病情立即给予手法复位及临床对症处理,然而患者腹痛虽一时缓解,而后再次加剧。吴万庆副主任医师立即安排肠系膜血管CTA检查,结果显示:肠系膜上动脉中段螺旋状改变,显影极浅淡,证实已经继发肠系膜血管问题。
患者肠扭转手法复位后短时间内再次出现腹痛进行性加重,考虑可能存在病理性因素,目前尚未出现腹膜炎体征,是手术探查、复位肠管的关键时机,否则大范围的小肠将会很快缺血坏死,危及生命。情况紧急需当机立断,于是加急准备为该患者实施“腹腔探查术”。


▲ 手术探查提示全段小肠扭转,肠壁广泛淤血、水肿;小肠扭转复位后,肠壁色泽迅速恢复红润,蠕动功能恢复
在一系列紧张而又有序的术前准备后,患者顺利进入手术室。手术由傅聿铭主任医师主刀,吴万庆副主任医师担任助手。术中探查发现腹腔大量淡红色渗出,全段小肠广泛淤血水肿青紫,肠系膜扭转成团,小肠扭转超过720°。
“轻挪细剪”化危机,弓马娴熟出奇迹。傅聿铭主任医师带领团队在5分钟内对粘连组织完成松解并完全复位扭转系膜,肠管血供恢复,肠壁色泽渐渐转为红润,复位成功。此时此刻,参与手术的所有医护人员才松了一口气。

▲ 傅聿铭主任医师手术中

▲ 术后第3天,患者下地活动
术后,在胃肠甲状腺外科全体医护人员的共同努力下,患者很快康复,患者及家属脸上也露出开心的笑容。
傅聿铭主任医师指出:肠扭转是一种较严重的绞窄肠梗阻,若不能得到及时正确的处理,可在短时间内发生肠绞窄坏死,有较高死亡率,或者导致小肠大量切除后的短肠综合征,明显影响生活质量。若能得到及时有效的治疗,可明显降低患者死亡率,扭转的肠袢回转复位,甚至可避免肠坏死肠切除。在患者危急情况下,做出最恰当的临床处理,体现出一个诊疗团队较高的综合素质。
面对病情危重复杂的患者,消化内科、胃肠甲状腺外科、手术麻醉科等多学科间的密切合作,主诊医师能够迅速准确判断病情,临床各学科紧密配合,短时间内能快速制定出抢救措施,确保患者生命安全。在此也提醒广大患者朋友:有病及时正规医治,以免延误病情。
小肠扭转科普
小肠扭转(small bowel volvulus,SBV)是指游离在腹腔的空、回肠的其中某段或者全部肠段沿其小肠系膜为轴线扭转超过180度,扭转肠袢的两端及系膜血管均受压,肠管发生完全的或部分闭塞和血运障碍,形成闭袢性肠梗阻。其中同时有小肠系膜血管血运受到影响,为绞窄性肠梗阻。
SBV可以发病于各个年龄阶段,青年SBV发病较老年患者更为典型,早期症状明显,患者往往有腹痛难以忍受的症状,大部分SBV发病于某种病理变化比如手术后局部的粘连、肠系膜肿瘤、系膜过长等。SBV可有多种不同的表现,较为复杂,CT对于诊断小肠扭转具有更直接明确的参考价值。
SBV起病急、发展快、术后并发症多,死亡率高达30%,极其凶险。部分SBV可通过手法复位缓解,病情突变难以逆转时及时通过外科手术才能挽救生命。对于SBV手术时机的判断极大程度上决定了患者预后,偶尔的诊断拖延而引起患者手术时机延误,导致广泛小肠切除致短肠综合征,生活水平及质量受到极大影响,生命受到极大威胁。
来源:胃肠甲状腺外科 罗昭锋
宣传科编辑整理